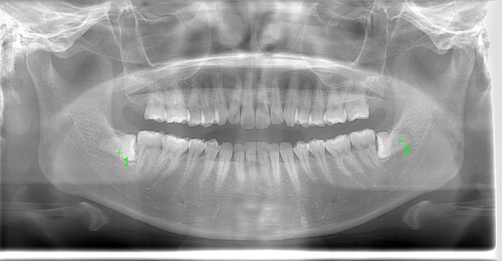
20代前半の女性の親知らず埋伏歯の症例になります。
レントゲン写真の状態を御覧ください。

部位:右下8番埋伏歯
部位:左下8番埋伏歯
術前パノラマ写真
【Befor】
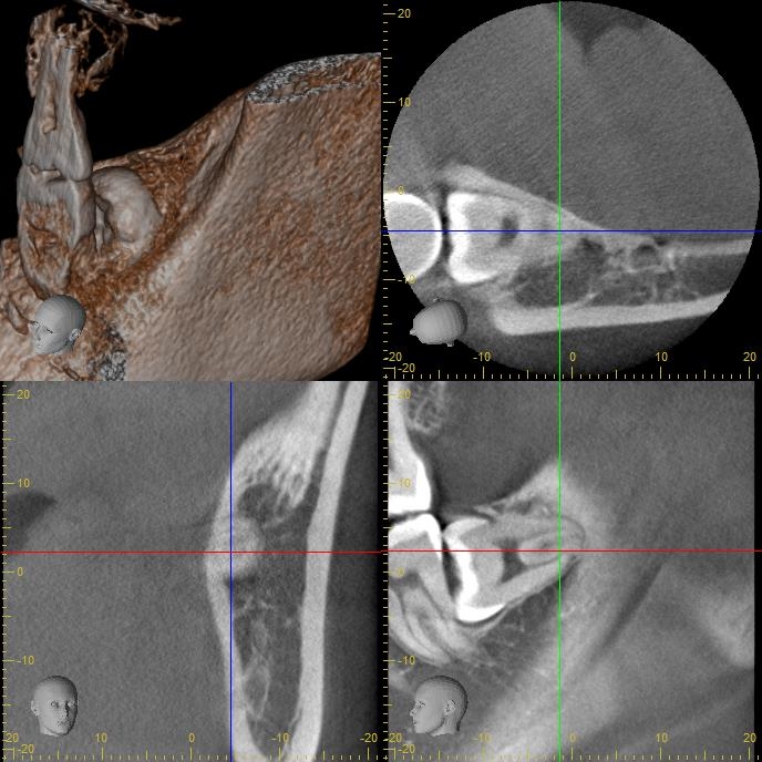
部位:左下8番埋伏歯
CT画像で状態を確認し、親知らずの歯根の曲がり具合や歯根の太さ、
下の親知らずの場合は下歯槽管神経との距離、
位置関係や骨の厚みなどを確認します。
下歯槽神経を傷をつけないように注意が必要です。
この場合、神経との距離を測り慎重に抜歯しないといけません。
部位:左下8番埋伏歯
切開 歯肉剝離
歯肉を切開し、歯が見えるようにして、
周辺の骨を削らないように親知らずを分割し抜きやすくしていきます。
この抜歯法により術後の腫れ痛みが大幅に軽減されます。

歯牙分割

歯冠除去

抜歯窩

縫合

当院では、傷口は最小限に、骨は極力削らずに行います。
骨が歯を覆っているケース以外は骨を削ることはありません。
親知らずのみにアプローチし歯を分割し最小限の傷口で取り出します。
抜去歯

術後

治癒
この抜歯法により術後の腫れ痛みが大幅に軽減されます。
抜歯後、経過良好です。
歯肉を切開し、歯が見えるようにして、
周辺の骨を削らないように親知らずを分割し抜きやすくしていきます。
この抜歯法により術後の腫れ痛みが大幅に軽減されます。
傷口は最小限に、骨は極力削らずに行います。
骨が歯を覆っているケース以外は骨を削ることはありません。
親知らずのみにアプローチし歯を分割し最小限の傷口で取り出します。
この抜歯法により術後の腫れ痛みが大幅に軽減されます。
抜歯後、経過良好です。











