30代前半男性、8埋伏歯の抜歯症例
レントゲン写真の状態を御覧ください。

部位:左上8番親知らずの歯
術前CT写真 (左)

術前CT写真
CT画像で状態を確認し、親知らずの歯根の曲がり具合や歯根の太さ、
下の親知らずの場合は下歯槽管神経との距離、
位置関係や骨の厚みなどを確認します。
下歯槽神経を傷をつけないように注意が必要です。
この場合、神経との距離を測り慎重に抜歯しないといけません。
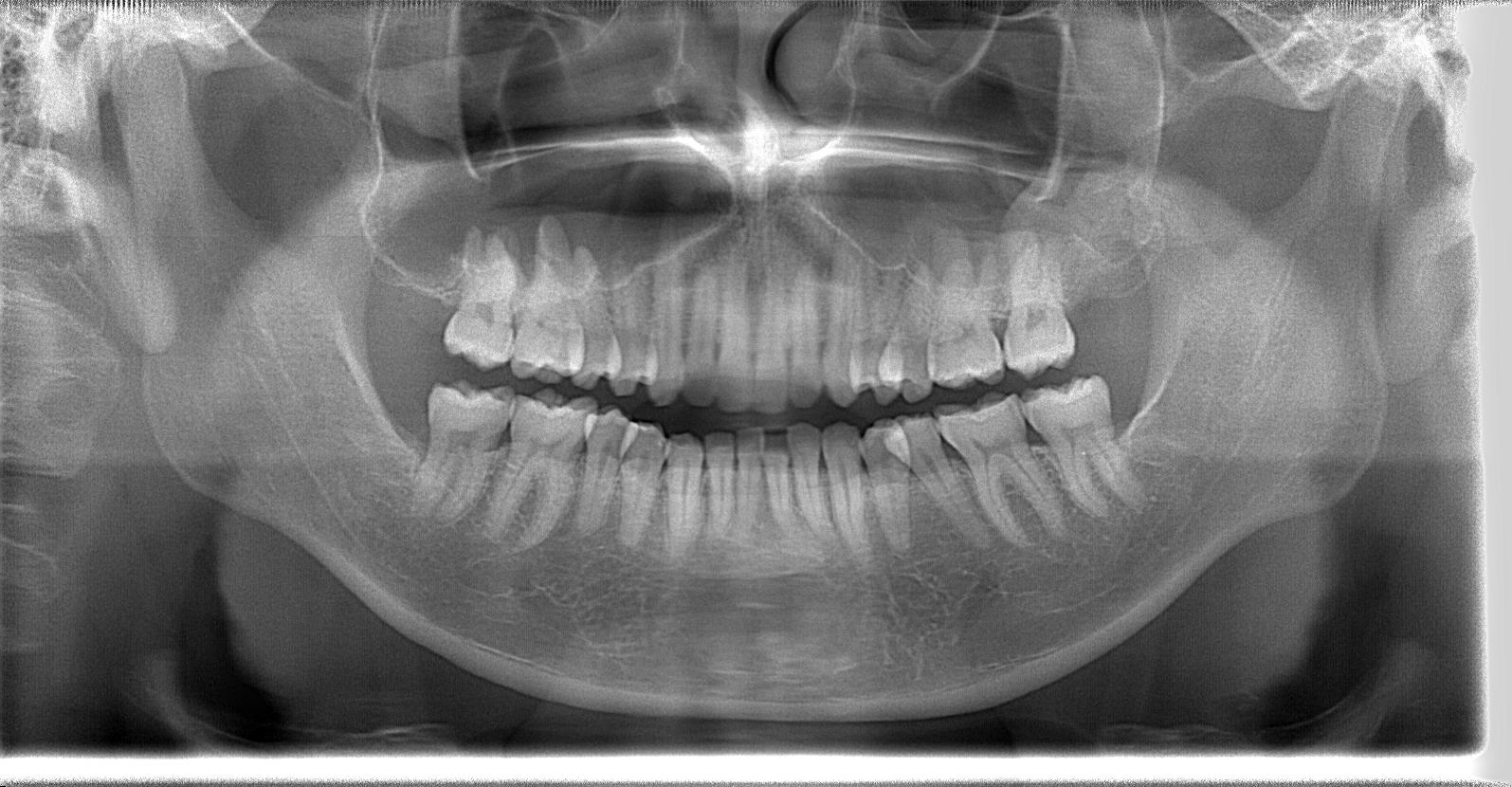
術後パノラマ写真

【After】
術後の痺れなどもなくとても良好です。
(左上)抜歯窩

抜去歯 (左上下)
治癒

当院では、傷口は最小限に行います。
親知らずのみにアプローチし歯を最小限の傷口で取り出します。
抜歯後、経過良好です。











