40代後半の男性の審美補綴の症例です。
≪お悩み≫
◯下顎右側の虫歯を治したい
◯審美的に見た目も綺麗にしたい
≪治療内容≫
パノラマレントゲン写真

術前の咬合面の写真

不適合な金属の詰め物の除去。

7近心隣接面の齲窩の写真

7近心隣接面にCR 充填した写真

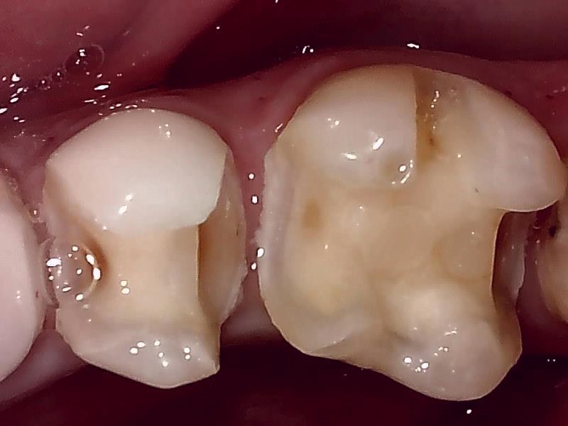
セラミックインレーの装着前の窩洞形成(写真)

仮歯の装着して歯肉の回復を待つ。
仮歯の装着後、歯肉の治癒期間は後1~2週間後程度になる。
◯歯周外科の術中・術後の腫れ、痛み、出血はほとんどありません。
◯術後に仮歯を入れてすぐに噛むことができます。
仮歯を入れ歯肉に負担をかけないことが最も安全で理想的です。
患者様のご希望と状態に応じての総合的に判断します。
写真; セラミックインレー装着後の歯冠の仕上がり(咬合面観)

≪治療期間≫
約9日から14日間
大阪ITRデンタルクリニック
大阪市北区梅田1-1-3
大阪駅前第3ビル1階
0664552250
※日曜日も診療しています











