30代前半の女性の審美補綴の症例です。
≪お悩み≫
◯上顎前歯部の虫歯を治したい
◯審美的に見た目も綺麗にしたい
≪治療内容≫
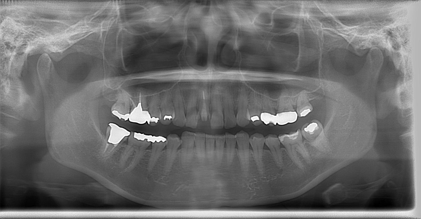
術前のパノラマレントゲン写真

根管治療後の土台コア装着後のレントゲン写真

術後のパノラマレントゲン写真
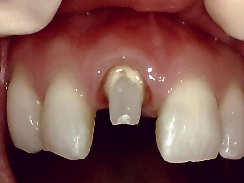
ジルコニアセラミック冠の装着前の支台歯形成(写真)

仮歯の装着して近心歯肉の回復を待つ。

仮歯の装着後、歯肉の治癒期間は後1~2週間後程度になる。
◯歯周外科の術中・術後の腫れ、痛み、出血はほとんどありません。
◯術後に仮歯を入れてすぐに噛むことができます。仮歯を入れ歯肉に負担をかけないことが最も安全で理想的です。患者様のご希望と状態に応じての総合的に判断します。
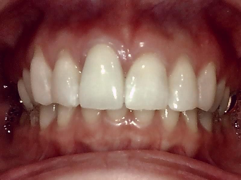
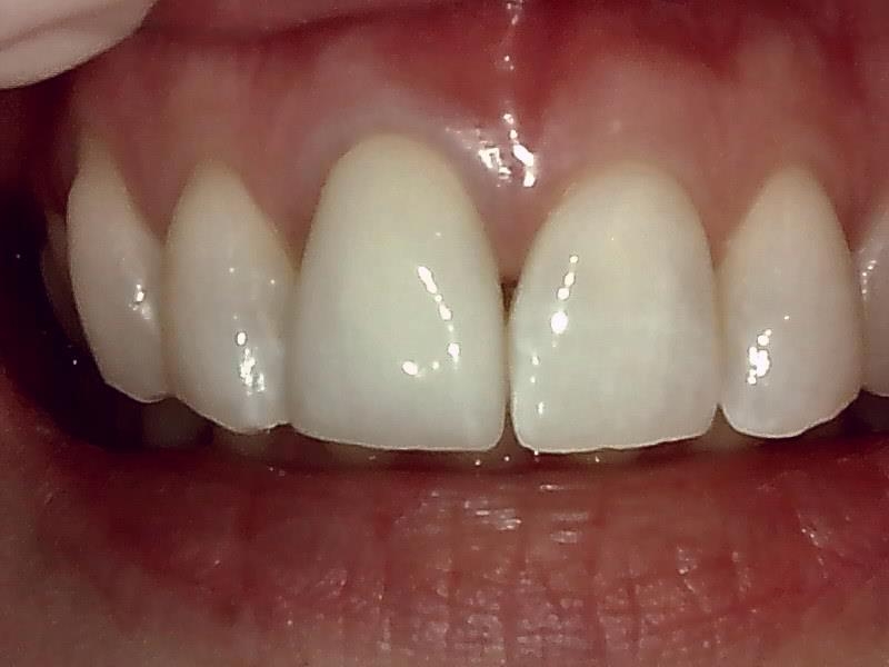
写真; ジルコニアセラミック冠装着

完成

治癒


≪治療期間≫
約1ヶ月〜2ヶ月
大阪ITRデンタルクリニック
大阪市北区梅田1-1-3
大阪駅前第3ビル1階
0664552250
※日曜日も診療しています











