当院で行なっている矯正治療が完成した患者様の症例をご紹介致します。
今回は、第3大臼歯を抜歯して矯正配列している症例です。
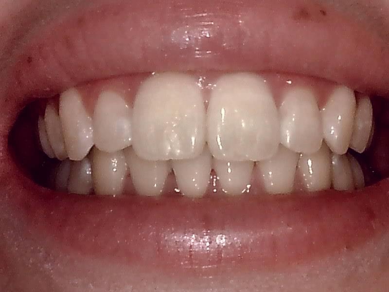
スマイルラインも美しくなり、前突した歯も改善され噛み合わせもしっかり正常に戻しました。
治療期間も短く、患者様も治療を頑張って下さったので綺麗に歯が並びました。
≪お悩み≫
○前歯の前突した歯を治したい
○八の字型の歯並びを改善したい
○笑った時の歯のアーチを綺麗にしたい
≪治療期間≫
2年
≪治療内容≫
マウスピースによる歯列矯正矯正(メーカー:インビザライン)
≪副作用≫
特になし。
≪リスク≫
1日20時間以上の装着が必要です。厳守して頂いた場合は、好転します。
着脱可能なため、患者様の1日の装着時間が短い場合は、歯の移動に影響が出ます。
≪その他≫
お食事の時・歯磨きの時は取り外して頂きます。
≪費用≫
75万円(税別)
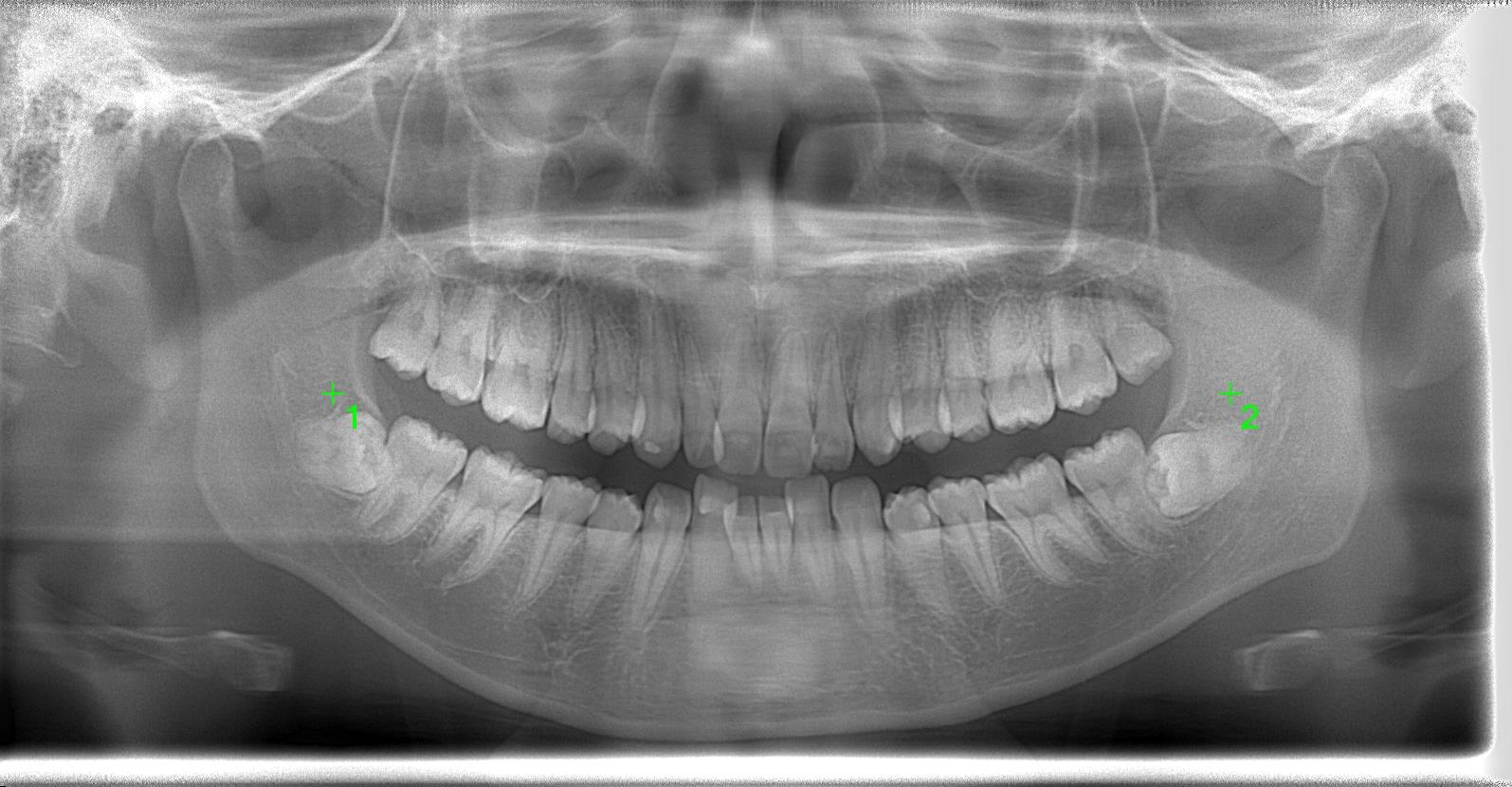
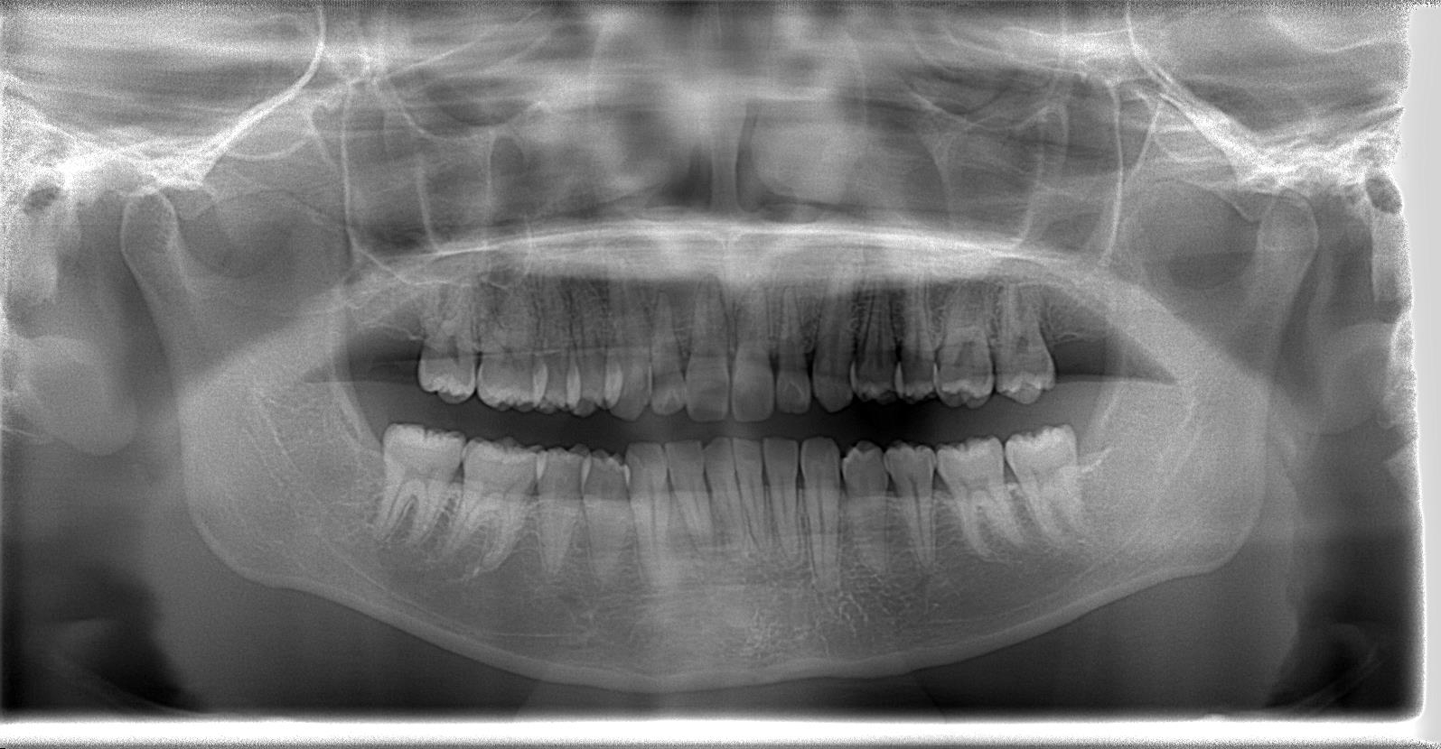
[術前パノラマレントゲン写真]

術前口腔内写真 正面観


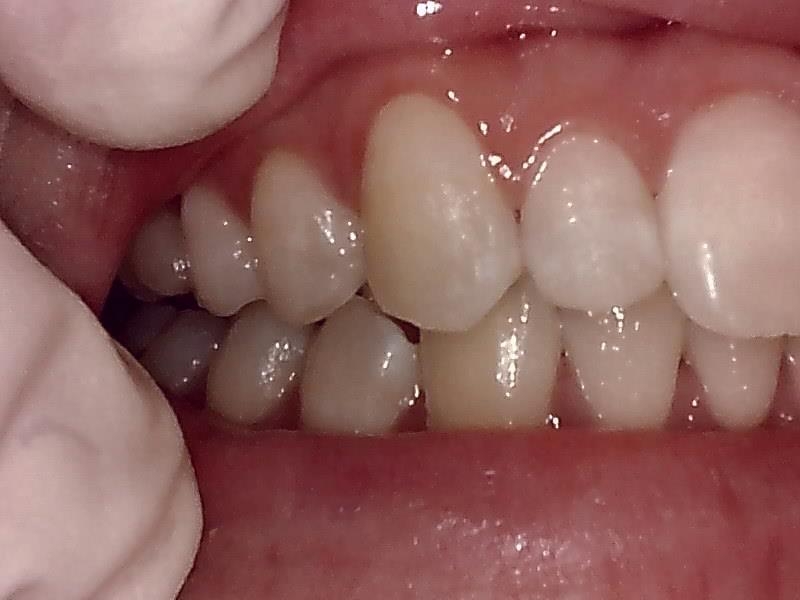
左側


右側


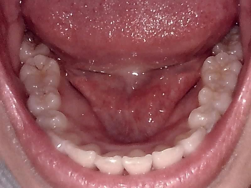
上顎

下顎

[矯正治療のマウスピース装着]
[治療後のパノラマレントゲン写真]

第3大臼歯を抜歯して矯正配列している症例です。
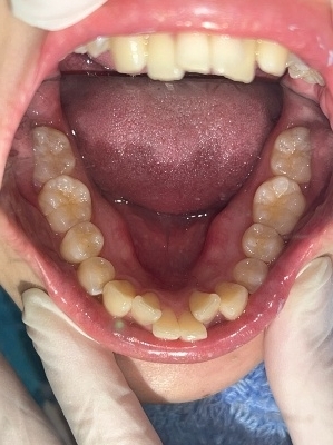
術後の口腔内写真 正面観

左側

右側

上顎

下顎

術後 リテーナー保定装置で保定します。
大阪ITRデンタルクリニック
大阪市北区梅田1-1-3
大阪駅前第3ビル1階
TEL:0664552250
※事前ご予約制 : 日曜日も診療しています
ご予約、お問い合わせは24時間受付。診察時間外のお電話の受付が可能です。
※モニターを希望される方は直接クリニックにお問い合わせください











