本日はインプラント症例について ご紹介します。
70代前半の女性、インプラント症例です。
術前パノラマレントゲン写真

術後パノラマレントゲン写真


術中インプラント埋入した歯肉の状態は良好です。 (左下)

術中インプラント埋入したあと、アバットメントの装着のため
歯肉の整形 (左下)とても綺麗な良い歯肉の状態です。

アバットメント装着 (左下)
(ジルコニアアバットメント)

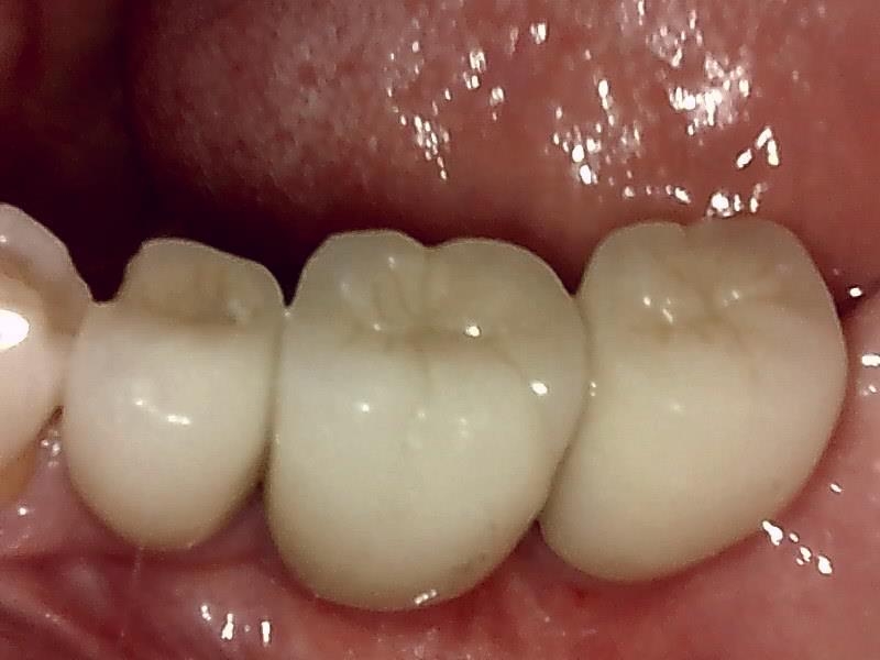
インプラントの上部構造 (左下)
(ジルコニアセラミッククラウン)
インプラント手技について
もう少し詳しくご紹介いたします。

術前の顎堤

顎堤歯肉を減張切開して歯肉剝離する。

顎堤部 歯槽骨にドリリングする。

インプラント体の口径に合わせて埋入孔を形成した状態です。

術中インプラント埋入した状態は良好です。

自家骨移植 GBR を施す。理想的な顎堤に築造する。

減張切開した歯肉を縫合した状態です。

抜糸した状態です。
術前の時は瘦せていた顎堤が適切なグラフト手技により
しっかりした厚みのある顎堤が隆起している。

インプラント埋入後、10ヶ月経過した健全な顎堤の状態です。

歯肉切開してヒーリングアバットメントの装着している状況です。

ヒーリングアバットメント装着して歯肉を縫合する。

抜糸後、2週間経過した歯肉の状態です。
歯肉の整形 (左下)とても綺麗な良い歯肉の状態です。

アバットメント装着 (左下)
(ジルコニアアバットメント)

アバットメント装着 (左下)
(ジルコニアアバットメント) (咬合面観)

インプラントの上部構造 (左下)
(ジルコニアセラミッククラウン)
術後、とても経過良好です。
ITRが誇るインプラント治療とは
◎インプラント専用オペ室で安全に治療する
◎一番の信頼と実績を誇るノーベルバイオケア社のみ使用
◎過去の症例や勉強で培った技術からインプラント症例の検討
◎恐怖心の強い方には、静脈内鎮静法で痛みを感じずに寝ている間に治療が可能
◎コンピュータガイドシステム導入、無切開無痛インプラントで術後の腫れ痛みの少ない究極のインプラント治療
当院にはインプラントを検討されている患者様が多数おられます。歯を失って、ブリッジや入れ歯をしたけれど、結局またダメになり再治療をしなくてはいけない。しっかり咬めないからストレスになるなど、様々な経験の中で、最終インプラントを考えた患者様が大多数です。高額な費用がインプラントにはかかってしまいますが、一度入れたインプラントはほぼ一生、ご自身の歯として機能しますので、長い年月でみると高くは無いと考えます。
また、どこのメーカーを使用するか、担当する歯科医師の技術経験はどれだけあるのか、それにより値段もまちまちです。
ITRでは、インプラント経験が15年のプロフェッショナルなインプラント治療医が対応します。
埋入するインプラントは患者様の一番心配される保証や安全性を考え、世界一の信頼とトップシェアを誇るノーベルバイオケア社のもののみ使用しています。
本来保証は医院独自で行いますが、インプラントメーカーで唯一、メーカー保証で一生涯保証があります。
それだけ、インプラントに自身があるメーカーなのです。
当院はインプラントメーカーの保証と医院の保証のダブル保証でより安心いただけます。
そして、伝達麻酔と浸潤麻酔をした後、インプラント埋入を行います。
術中の安全性を高める為に医科用の生体モニターを完備しているので、術中、血圧・脈拍・血中酸素濃度などをしっかり管理し安全にインプラントを行います。
患者様にできるだけ負担がなく、的確に安全にインプラント治療を行う為には、必ず安全性を確立した設備・技術・信頼できるメーカーが不可欠です!
歯を失った場合の治療にインプラントは一番最適です。
どれだけ良い入れ歯を作っても、口の中に違和感があり、お手入れが面倒で、しっかり噛めない、不安定、、、こんな症状の数々でストレスがでます。
自分の歯には絶対に敵いません。
インプラントは第二の自分の歯!
歯の噛み合わせや噛む機能が乱れると、全身疾患につながります。
お口は食事を始めて体に取り入れる、入り口です。
体の健康に左右する大切な入り口なのです。
しっかり噛んで、美味しくを食事したい。将来に気をつけてしっかり身体の健康維持をしたい。とお考えの方は、入れ歯やブリッジの前にインプラントを一度検討してください。
インプラントは技術と長年の経験を必要とする治療です。
インプラントを成功に導く為には、必ずインプラント治療を多数経験している先生にお願いしてください。
カウンセリングの時にインプラント担当医の経歴や埋入本数、15年以上治療経過実績など全てお話しします!
ITRでは、カウンセリングや治療相談、費用相談について無料で行っています。
他院でインプラントを勧められて興味はあるけど、ちょっと心配な方へのセカンドオピニオンでインプラントの治療が本当に必要かどうか、的確な治療計画かどうかの診断も行っています。
歯を抜歯せずに残せる場合もあります。
インプラントをお考えの方は一度相談にお越しください。











